Wisdom Teeth

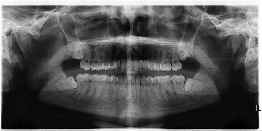
Wisdom Teeth X-Ray


Wisdom teeth are the third and final set of molars that emerge, usually during your late teens to early twenties. For some people the wisdom teeth emerge through the gums and have enough room to grow in naturally. For others, wisdom teeth often cause problems as they are trying to protrude through the gums. When a wisdom tooth is impacted the tooth is coming in at an angle and not straight through the gum line. This can cause pain, the tooth can come in unevenly, or the tooth may only emerge partially.

Impacted wisdom teeth can cause structural damage to the jaw and other teeth. They can also provide a place for bacteria to gather since they are hard to reach and clean. These potential problems make it necessary to remove impacted wisdom teeth so that larger problems do not arise. Routine x-rays during a dental exam can reveal if you will need to have your wisdom teeth removed.

Contact Us

Send Us an Email

Our Location

3901 Rosehaven Dr, Ste A | Charlotte, NC 28205

OFFICE HOURS

Proudly Open On Weekends To Serve Our Valued Patients

REGULAR HOURS

Monday:

8:30 am-5:00 pm

Tuesday:

8:30 am-5:00 pm

Wednesday:

8:30 am-5:00 pm

Thursday:

8:30 am-5:00 pm

Friday:

Closed

Saturday:

9:00 am-5:00 pm

Sunday:

9:00 am-5:00 pm

EXTENDED HOURS (BY APPOINTMENT ONLY)

Monday:

5:00 pm - 9:00 pm | for dental emergency

Tuesday:

5:00 pm - 9:00 pm | for dental emergency

Wednesday:

5:00 pm - 9:00 pm | for dental emergency

Thursday:

5:00 pm - 9:00 pm | for dental emergency

Friday:

5:00 pm - 9:00 pm | for dental emergency

Saturday:

5:00 pm - 9:00 pm | for dental emergency

Sunday:

5:00 pm - 9:00 pm | for dental emergency